Гарматин Сергей Владимирович
Моя
многолетняя
практика
В профессиональном плане многие знают, что я действующий стоматолог-ортопед. Но хочется показать больше деталей!

Ко мне обращаются пациенты с различными жалобами и просьбами.

Какие вопросы я помогу Вам решить:

- Отсутствие одного или нескольких зубов.
- Разрушение анатомического строения зуба более, чем на 50%!
- Подвижность или повышенная чувствительность зубов.
- Заболевания дёсен или костей, таких как пародонтоз, пародонтит.
- Косметические дефекты зубов: разный размер, неправильная форма, пигментация эмали. Любые другие нарушения с точки зрения эстетики!
- Выявить заболевания височно-нижнечелюстного сустава (ВНЧС).

Также в круг моих задач входит ведение пациентов от смешанных специалистов!

Основная цель моей работы с Вами - обеспечить целостность зубного ряда, даже при значительном повреждении или полном отсутствии зубов!

При этом подход к лечению комплексный!

В моей работе могут участвовать и другие специалисты. Такие как: зубной техник, терапевт, пародонтолог, хирург...
Слаженная работа команды квалифицированных специалистов обеспечит комплексный подход и высокое качество выполненной работы в конечном результате!

Мировое качество⠀Straumann 💯

Как стоматолог, делюсь с вами преимуществами выбора системы имплантов Straumann для зубного протезирования. Straumann - один из ведущих производителей имплантатов, обладающий богатым опытом и высокими стандартами качества.

Я рекомендую эту систему своим пациентам:

1. Надежность и долговечность: Импланты Straumann изготовлены из высококачествного сплава циркония (~15 %) и титана (~85 %), который обеспечивает прочность и долговечность конструкции. Это позволяет имплантатам служить долгие годы без проблем.

2. Инновационные технологии: Straumann постоянно инвестирует в исследования и разработки, чтобы предлагать самые современные технологии в области имплантологии. Это обеспечивает высокую точность и эффективность процедуры имплантации.

3. Адаптация к индивидуальным потребностям: Система имплантов Straumann предлагает разнообразие размеров, форм и типов имплантатов, что позволяет подобрать оптимальное решение для каждого пациента в зависимости от его анатомических особенностей и потребностей.

4. Поддержка и обучение: Компания Straumann предоставляет обширные образовательные программы и поддержку стоматологам, что позволяет им быть в курсе последних достижений и использовать новейшие технологии в области имплантологии.

5. Доверие и репутация: Straumann - это бренд с мировым признанием и доверием, который уже многие годы является лидером на рынке имплантологии. Выбирая систему имплантов Straumann, вы можете быть уверены в качестве и надежности продукции.

Если подытожить, то система имплантов Straumann является отличным выбором для пациентов, которые ищут надежное и качественное решение для зубного протезирования.

Если у вас есть вопросы или вы хотели бы узнать больше о системе имплантов Straumann, не стесняйтесь обращаться ко мне.

Я всегда готов помочь вам выбрать оптимальное решение для вашего улучшения здоровья и красоты улыбки.🔝

@straumannru, @straumanngroupru, @straumanngroup, @dr.letyagin!

Вкладки E-max в моей работе!

Когда зуб сильно разрушен, восстанавливать его терапевтическим методом будет не целесообразно. Это может вызвать дискомфорт, а так же повторное кариозное поражение. Поэтому для реставрации сильно разрушенных зубов используются вкладки!

Данный тип реставрации применяют по конкретным показаниям. Вкладкой восстанавливают коронковую часть зуба в том случае, если она разрушена более чем на одну вторую.

Основными преимуществами данного метода восстановления является:
- Долговечность. Срок службы керамической вкладки составляет 20 — 25 лет. Ни одна пломба не способна качественно выполнять свои функции в течение такого длительного периода!
- Защита. Зубное протезирование керамическими вкладками надежно защищает зуб от дальнейшего разрушения, поскольку керамика – прочный материал, который выдерживает любые жевательные и температурные нагрузки!

В данный момент времени я отдаю свое предпочтение керамическим зубным вкладкам E-max.
Возвращаем эстэтику!
Временные конструкции могут и должны быть надежными и эстетически красивыми!

Моя совместная работа с Летягиным Т.А!

Тотальная реабилитация с удалением всех зубов на верхней челюсти.
Наталья пришла с подвижностью зубов 2 и 3 степени, со множественными воспалительными процессами.
Проводить одномомментную хирургию в таких условиях мы не стали.

Да! Потратили время, но оно того стоит!
Тарас Андреевич установил 4 импланта по протоколу QUADROFIX.
Мы пошли через полное съемное протезирование.

Реабилитация, интеграция и наконец-то нагрузка!

Да, она временная, но Пациент уже не волнуется об эстетике и дискомфорте!

Уже через пару месяцев мы перейдем на постоянную ортопедическую конструкцию!

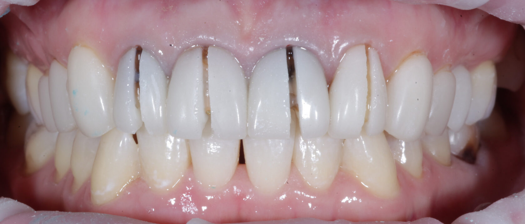
Коронки!

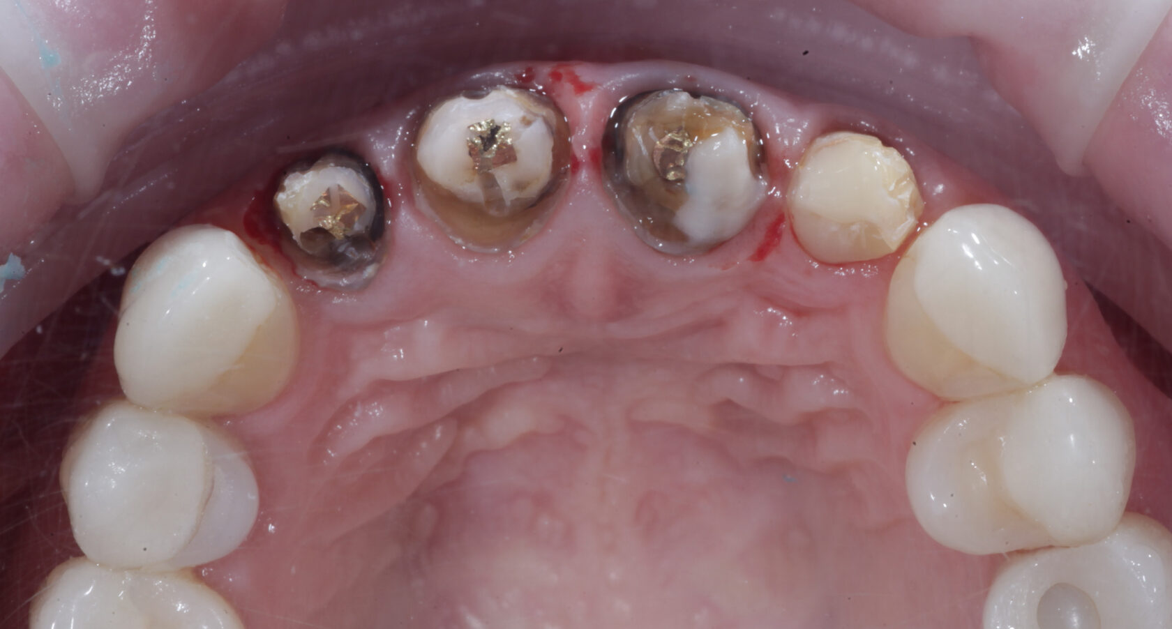
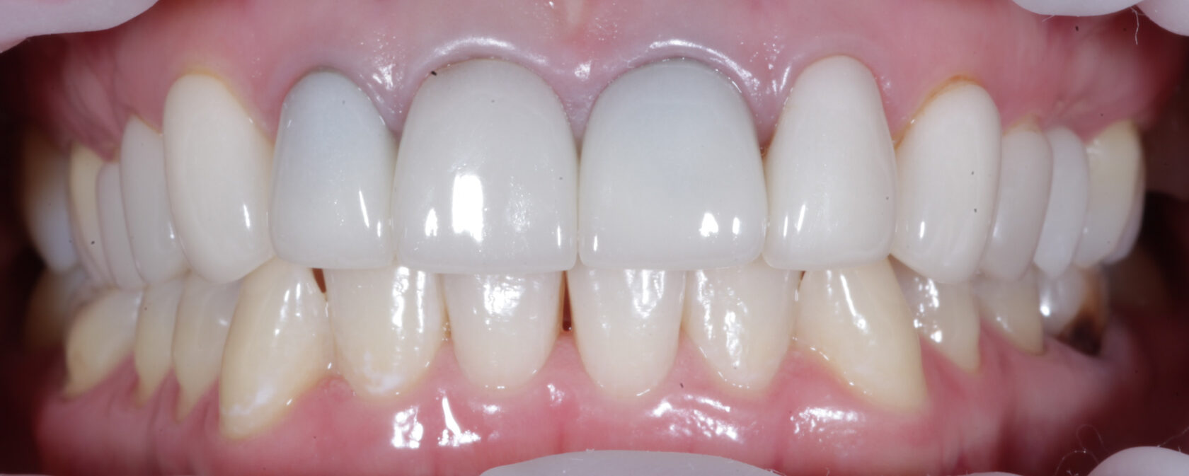
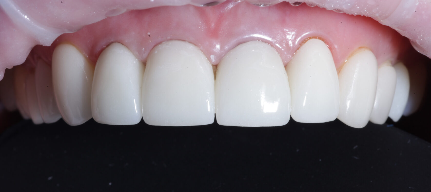
Пациент обратился с жалобами на эстетический дефект ранее установленных непрямых реставраций (коронок) из прессованной керамики 5 лет назад...
Оценка внешнего вида показала, что просвечивание связанно с потемнением самих культей Зубов под реставрациями!

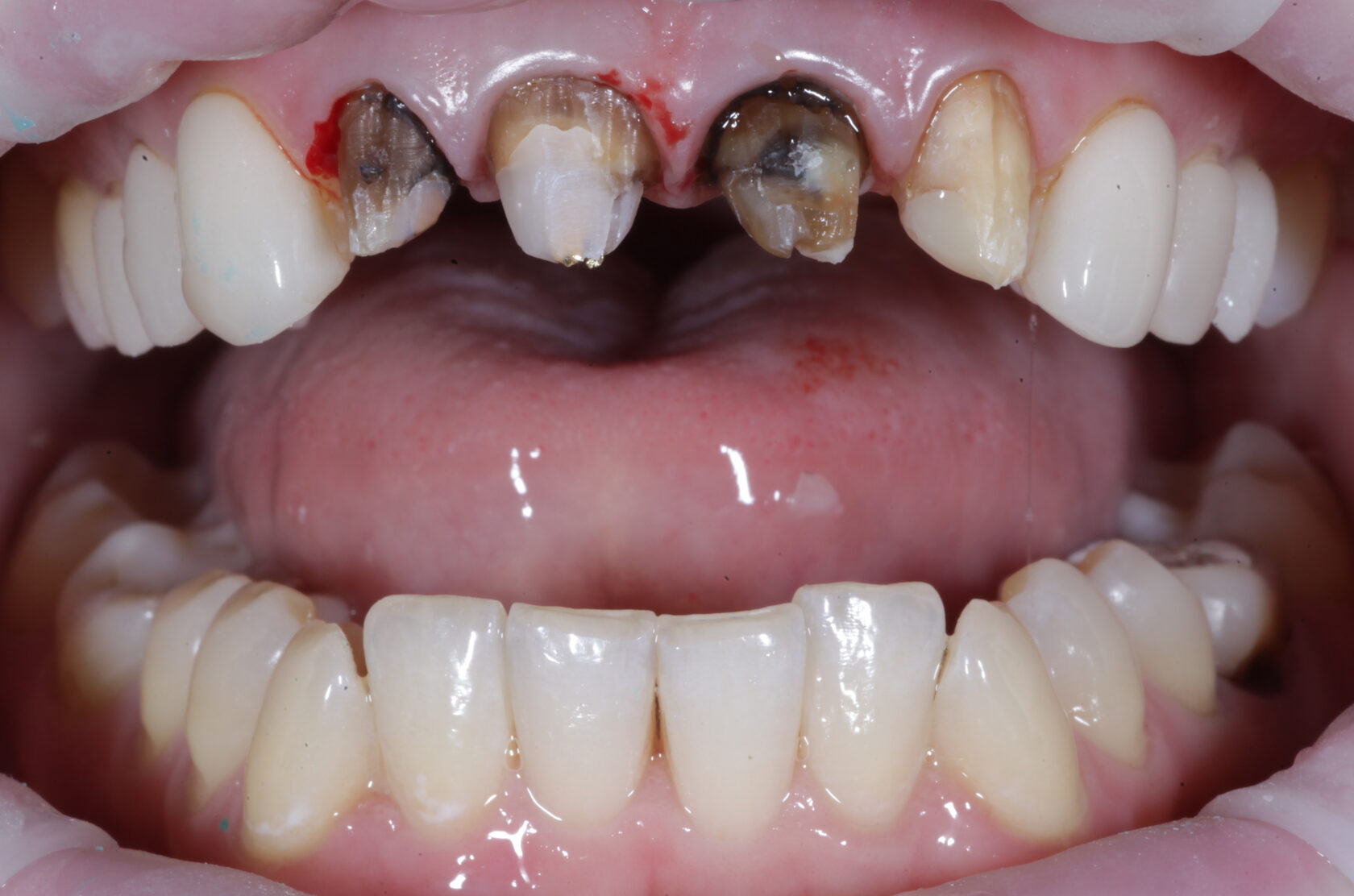
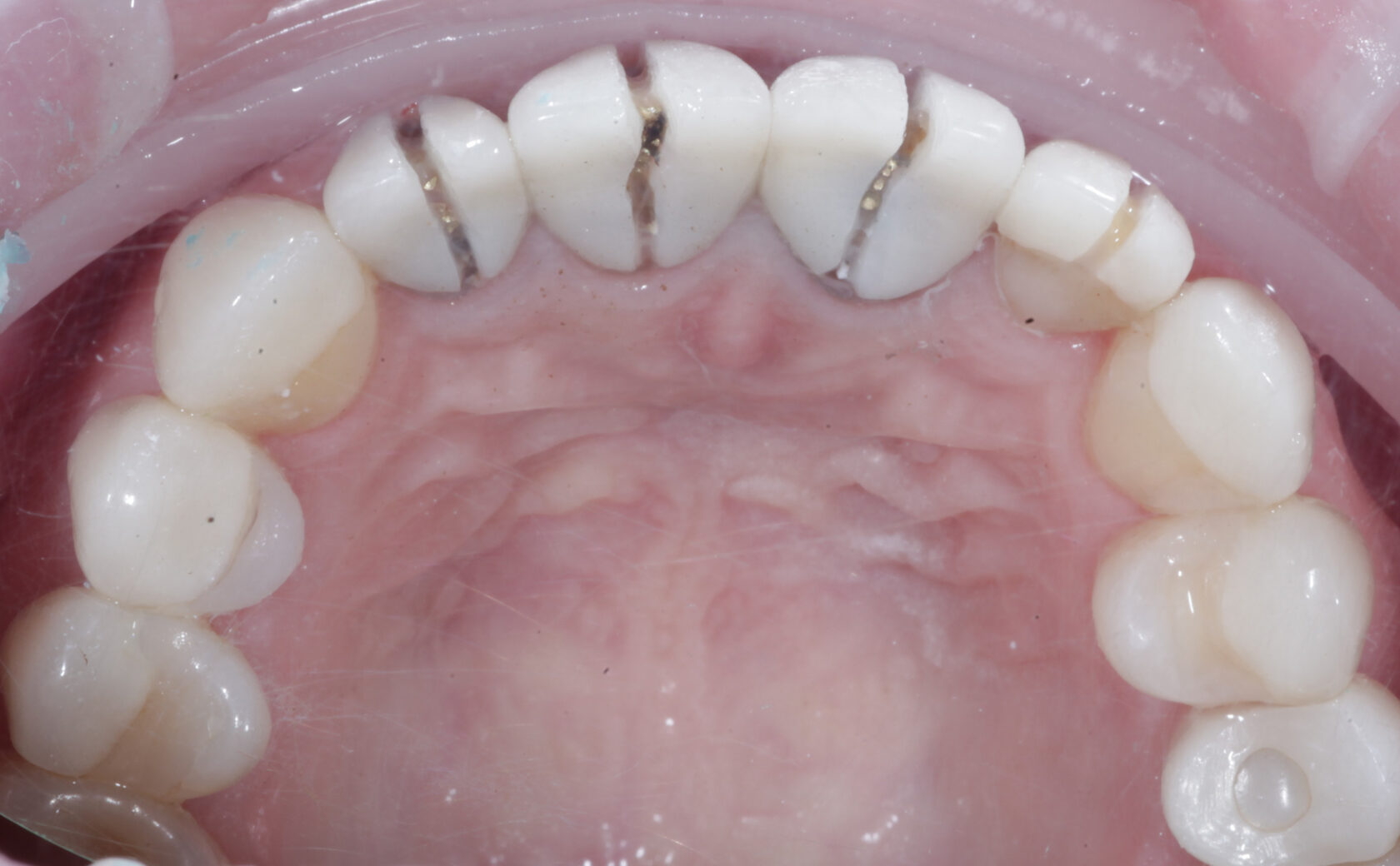
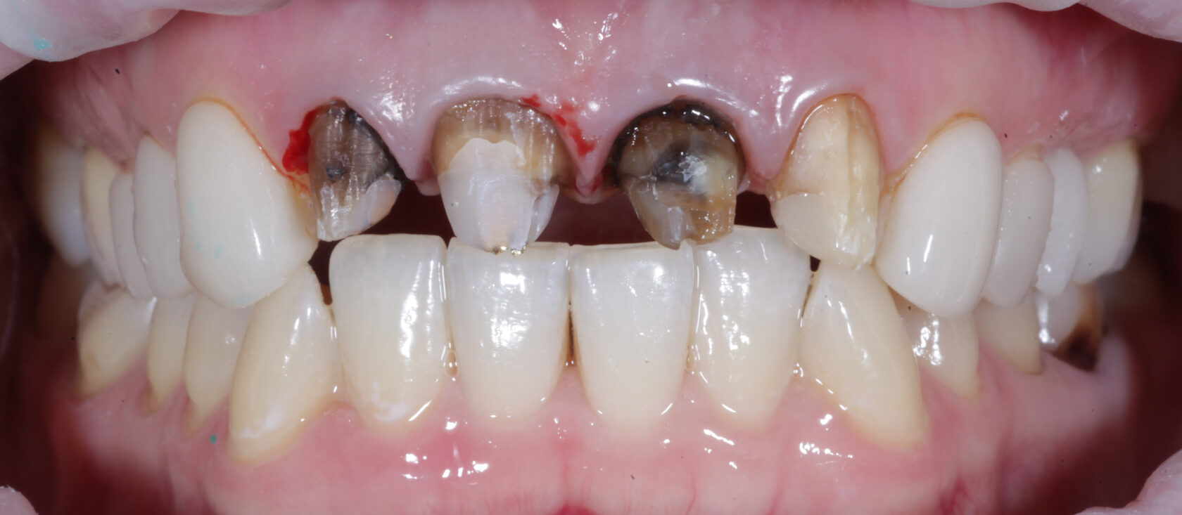
1. Снятие конструкции путем распиливания и оценка культей Зубов.
2. Врачом стоматологом-терапевтом была проведена ревизия корневых каналов и замена устаревших анкерных штифтов на новые - стекловолоконные!

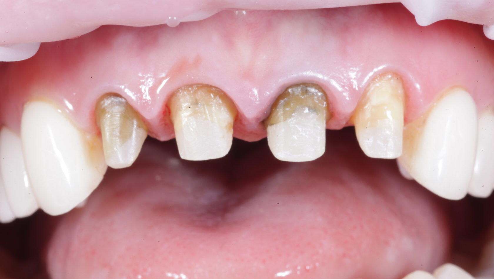
3. Подготовка (препарирование) зубов под коронки из диоксида циркония, ибо коронки тонируют культи потемневших зубов. Изготовление временных коронок прямым методом для формирования дёсенного контура. (рис 6.7.8.9.10)
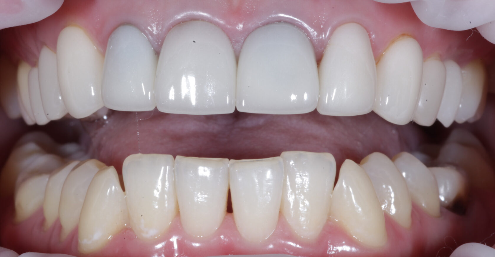
4. Спустя 2 недели замена временных коронок на постоянные.
Ps... Коронки изготовлены без особого рельефа. Пациент на примерке акцентировал внимание на том, что хочет ровные плоские зубы!